
HAVE THE PERFECT SMILE
With Toronto’s Veneer Expert Dr. Aksana Tkachenko
Dental Veneers – Toronto’s Dental Expert Dr. Aksana Tkachenko
To maintain the natural look of your teeth, dental veneers are the ideal cosmetic dental solution.
For this, Dr. Aksana and her team will implant a very thin layer of porcelain enamel directly onto the surface of your existing teeth, which is used to change their size, shape, and symmetry.
In turn, this works to improve your smile’s overall appearance while also giving you an added boost of self-confidence at the same time.
The best part is that Chroma Dental’s veneer services in Toronto do not require any anesthesia, drilling and are a 100% pain-free way to get you the smile that you’ve always dreamed of.
Dental veneers are ideal for individuals with severely discoloured teeth, broken teeth, crooked teeth, or teeth with large gaps. Veneers are 100% tailored specifically to your existing teeth, making them the most ideal, non-invasive solution currently available.
Interested in learning more about dental veneers? Don’t hesitate to contact us for a FREE consultation.
Call us: (416) 550-9000

Real Veneer Mock Up – $300
Ready within 40 minutes
Over 5000 Veneers Placed
Free Consultation
Brand New (2021) New Modern Dental Studio
Exceptionally COVID-19 SAFE, IPAC, Non-Touch Equipment, RCDSO
Dental Veneers FAQ – Frequently Asked Questions
When it comes to spending your hard-earned money on dental veneers, choosing the right service provider can make all the difference in your experience.
Chroma Dental is one of Toronto’s leading dental specialists in dental veneers and many other cosmetic procedures, such as teeth whitening.
Below, we’ve listed some of the most frequently asked questions about veneers and the process of having them implanted.
Are there different types of veneers?
Yes, dental veneers can be made from a composite material or made from porcelain.
Composite veneers are made from the same material that traditional tooth fillings are made from. Compared to other treatments, composite veneers are the safest way to get a whiter, brighter smile in as little as a single visit to your dentist.
The biggest benefit of composite veneers is that they can often be removed with little to no damage to your existing teeth. They’re also considerably more affordable than porcelain veneers.
Porcelain veneers, on the other hand, are more durable and are easier for your dentist to repair and replace as needed.
However, to keep your bite the same as your natural teeth, a thin layer of enamel will need to be removed before your porcelain veneer can be installed. Because of this, porcelain veneers are not reversible.
Some patients report mild sensitivity to hot and cold after this procedure, but this should resolve after a few days.
How long do veneers last?
Unfortunately, your veneers aren’t going to last forever and may occasionally need to be touched up or repaired. Still, with proper care, the average lifespan of dental veneers is usually between 10 to 15 years, with many lasting as long as 20 years.
With that said, veneer materials are constantly being improved, which means that newer veneers may last even longer.
Chroma Dental is proud to use only the latest, cutting-edge technology, which means that we offer some of the longest-lasting veneers you’ll find today.
Can veneers break, crack, or split?
Veneers are made from solid, durable materials. However, that doesn’t mean that they’re indestructible.
According to Dr. Aksana, who has implanted thousands of veneers over the years, veneered teeth should be treated just like your natural teeth. If veneered teeth are cared for properly, they shouldn’t break easily.
Are veneers better than crowns?
Both crowns and veneers are used to improve the overall look and functionality of your teeth. However, they are two very different types of restoration.
The primary difference between the two is that a veneer will only cover the front part of your teeth, while a crown will cover the entire tooth from top to bottom.
With that said, veneers aren’t always an option. In fact, if there isn’t enough existing tooth structure available, it would be impossible to install a veneer, and a full crown would be the more suitable option.
To find out if a veneer or a crown is the best option, contact your dentist today!
How often will my veneer need to be replaced?
Unless either of the following two scenarios happens, your veneers will not need to be replaced.
If your veneer starts to become worn down, you may need to have it replaced. However, as mentioned, most veneers can last between 10 to 20 years.
If your veneer gets cracked or chipped, the veneer may need to be replaced. However, if the chip is small enough, your dentist may be able to repair it.
How much do veneers cost?
Like any other dental procedure, the cost of veneers will vary depending on your individual case.
However, a composite veneer’s cost typically ranges between $350 and $500, whereas the average cost of a porcelain veneer will range from $1,200 to $2,000.
With that said, discounts are occasionally available. Contact us to learn more!
Does getting veneers hurt?
While you may feel some pressure while your veneers are being implanted, most patients do not report any pain or discomfort whatsoever, both during and after the procedure.
A very thin layer of enamel, typically about 0.5mm, will need to be removed from your existing teeth to be properly installed. In some cases, this process may feel slightly uncomfortable, but you should not feel any pain.
Will my veneers feel like my natural teeth?
Because they’re cemented directly to your existing teeth, veneers look and feel exactly like your natural teeth. However, a veneer will improve the look of your smile and improve the colour as well, which leads to increased confidence and a bigger, brighter smile.
With that said, veneers should be treated exactly as you would treat your natural teeth, which includes brushing and following a suitable dental hygiene regimen.
Before implanting a veneer, your dentist will take an impression of your existing teeth, which means that your veneer will look and feel exactly like your natural teeth. Only you will be able to know that difference!
How should I care for my veneers?
Veneers should be treated, and therefore, cared for, exactly as you would your natural teeth, which means brushing, flossing, and rinsing at least twice per day.
Aside from that, it’s also recommended that you avoid chewing on hard objects, such as ice. We recommend that you use a straw when drinking beverages that can stain your teeth, such as soda.
Smoking should also be avoided, which will stain your veneers over time, and is simply bad for your health!
How are veneers made?
Composite veneers are typically built one layer at a time in the mouth, or they can be made indirectly by a dental technician. After fabrication, the composite veneer is then bonded to your existing teeth.
On the other hand, porcelain veneers are fabricated in a lab after your dentist has taken an impression of your existing teeth.
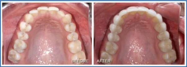
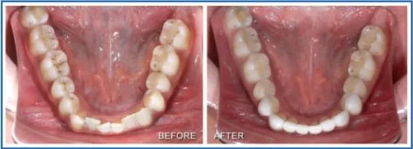
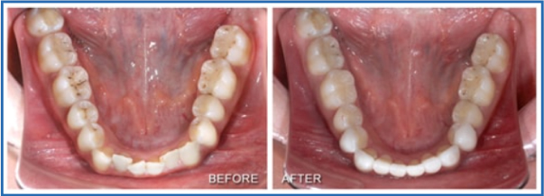
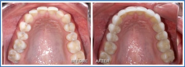
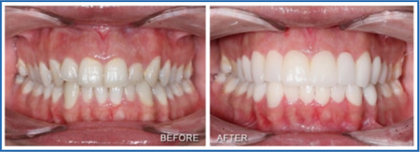
Before and after
All you need to know about Veneers from Toronto Expert Dr. Aksana Tkachenko
What types of issues can veneers fix?
Both composite and porcelain veneers are ideal solutions for fixing the following issues:
- Worn-down teeth (due to bruxism)
- Severe discolouration
- Broken or chipped teeth
- Crooked or misaligned teeth
- Large gaps between teeth

Regardless of the issue being treated, veneers are a very conservative and completely non-invasive treatment, especially when compared to Dental Implants.
Furthermore, veneers tend to be a stain-resistant and durable solution for repairing damaged or missing enamel.
In the end, veneers are used to give you a more beautiful, brighter, and whiter smile!
However, depending on your existing teeth, veneers aren’t always an option and are not an alternative to traditional orthodontics.
Want to learn more about dental veneers? Don’t hesitate to contact us today.
The Process of Getting Veneers
If you’re interested in getting either composite or porcelain veneers, you’ll start by having a consultation with one of our cosmetic dental specialists.
Consultation
This involves a brief oral consultation, as well as an oral exam to see if veneers are a suitable option for you. At this point, you’ll need to explain to your dentist the results that you wish to achieve.
Next, x-rays, impressions, or photographs may be taken of your existing teeth to analyze your smile’s current state.
If you’re eligible for veneers, your dentist will then provide you with all your options, where you’ll choose whatever is best for your specific financial situation.
Preparation and Installation
Depending on your individual case, little to no preparation is needed. Remember that everyone’s mouth and teeth are different. Therefore, the steps needed will also vary from one person to the next.
Next, if you’ve chosen a composite veneer, your dentist will bond the veneer material directly to the surface of your teeth. He or she will then shape and polish the veneer, all during a single visit.
Alternatively, porcelain veneers will require a minimum of two individual visits. The first will be to take an impression of your mouth, which will then be sent to a lab to fabricate your veneer. The second will be to bond the veneer to your teeth.
After that, you’ll be free to leave and show the world your brand new, beautiful smile!
For more information on veneers or to schedule a free consultation, contact us today!
Call us: (416) 550-9000























